Connect with us

Local

Problemas dentales, pueden arreglarse en estas vacaciones de verano

Problemas dentales, pueden arreglarse en estas vacaciones de verano, afirma odontóloga.-

Published

on

Por; José Rafael Contreras.-

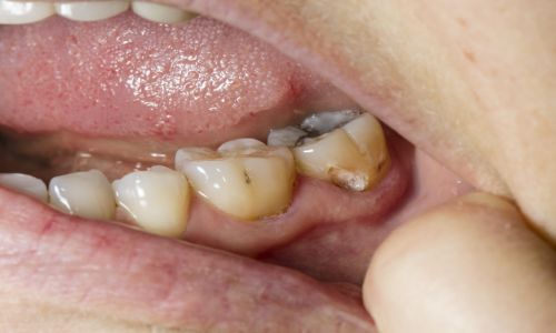
Las vacaciones escolares en  Hermosillo y en toda la entidad, pueden servir no solo para gozarlas  en compañía familiar, sino que también puede ser el momento  para  acudir con el médico  y checar aspectos de salud.-

Paola Reyes, Odontóloga especialista en  cirugía dental explico que, en estos días  además de  vacacionar  junto a los niños es tiempo justo también para acudir al dentista y  hacer una revisión a fondo de su dentadura para en caso de detectarse algún problema , corregirlo de inmediato.-

Manifiesto que, si es necesaria una limpieza dental, es el  momento de hacerlo y es importante  hacerlo una vez cada seis meses o una vez al año.-

 

Manifestó la Odontóloga, Paola Reyes que, los principales problemas en los niños son: la caries, la fluorosis característico problema de la región por la  composición del agua con ciertos minerales, siendo importante acudir con el especialista para resolver los problemas de inmediato y evitar complicaciones en un futuro.-

R Noticias. Todos los derechos reservados © 2025